Länkstig

Ortodonti

Forskningsgrupp
Pågående forskning
Projektägare
Institutionen för odontologi

Kort beskrivning

Ortodonti innefattar kunskap om ansiktet och käkarnas tillväxt, bettets utveckling, diagnostik av olika bettanomalier, analsys av bettavvikelsernas konsekvenser för oral hälsa, funktion samt psykosocialt välbefinnande.
Enklare ortodontiska behandlingar utförs av allmäntandläkare, mer komplicerade behandlingar av specialister inom ortodonti, och ibland i samarbete med käkkirurger och andra specialister. Patienter med läpp-käk-gom (LKG) spalt samt kraniofaciala syndrom behandlas vid sk LKG center där ortodontister ingår. Ortodontisk tandförflyttning är en biologisk process i benvävnaden runt tanden och som initieras av kraften från den ortodontisk apparaturen. Inom ämnesområdet ryms många olika frågeställningar, exempelvis inom växt och bettutveckling, tanderuption, reglering av benremodellering, behandlingsmetoder och utvärderingar.

Ansiktets och käkarnas växt

Skelettal och dentoalveolär utveckling från tonår till vuxen

Kunskaper och förståelse för de dentoalveolära förändringar som sker under en individs utveckling från barn till vuxen ålder utgör en grund för den ortodontiska verksamheten. I ett stort antal studier har den dentoalveolära förändringar som sker i olika stadier av tillväxten och utvecklingsperioder studerats. Få studier har dock innefattat den förändringar hos vuxna individer eller utgjort longitudinella uppföljningar från tidigt tonår till sen vuxenålder. Bristande stabilitet i ortodontisk behandling med t.ex. ökad trångställning i underkäksfronten positionsförändringar i tandimplantat hos unga och senare vuxenålder liksom studier visande förändringar av växtkaraktär under vuxenålder tillsammans med en ökande efterfrågan på ortodontisk behandling av vuxna, visar alla på nödvändigheten av kunskaper om ocklusionsförändringar hos vuxna patienter.

Syfte

Syftet med studierna är bland annat att besvara frågorna

  • Vilken röntgenanalysmetod är bäst för att beskriva ansiktsskelettets växt över tid
  • Hur växer man i ansiktsskelettet som vuxen
  • Hur påverkas käkar och bett av sen växt

Det övergripande syftet med studierna är att ta fram metoder för att studera växt på röntgenbilder över tid. Vidare att beskriva skelettala och dentoalveolära förändringar år hos individer med en normal ocklusion och utan omfattande protetisk eller ortodontisk behandling.

Patienter och metod

Projektet drivs i samarbete med Umeå Universitet. Studien utgår från Umeå och drygt 50 patienterna som alla har ett normalt bett har följts från 13 till 62 års ålder. Individerna, har alla ett normalt bett som inte har restaurerats eller genomgått tandreglering.

Projektfakta

Projektledare:
Docent Anna Westerlund

 

Foto skeletal utveckling
Profilröntgenbild och konventionell kefalometri.
Foto: Maria Ransjö
Foto skeletal utveckling
Utvärdering av växt med hjälp av superponering.

Stabilitet efter ortodontisk behandling

Retention efter tandreglering

Bettavvikelser som orsakar funktionella eller estetiska problem korrigeras med tandreglering. Svårigheten är oftast inte att ställa tänderna i ett korrekt läge, utan att upprätthålla behandlingsresultatet. Enligt en SBU rapport saknas evidens för stabilitet för ortodontisk behandlingsresultat för de flesta bettavvikelser. Ett lyckat behandlingsresultat kommer i de flesta fall försämras, särskilt under det första året, om inte tänderna hålls på plats i det nya läget med en s.k. retainer. Retainern kan antingen vara fastlimmad på två eller flera tänder eller vara en avtagbar skena. Tändernas tendens att återgå till sin initiala position i det korta tidsperspektivet beror på ofullständig adaptation av omgivande vävnader och kallas recidiv. Långsiktiga förändringar äger rum oberoende av tandregleringsbehandling och orsakas av kontinuerlig tillväxt och normalt åldrande. Eftersom behandlingsstabilitet är oförutsägbar på individnivå förses de flesta patienter med en retainer när tandställningen tas bort. På grund av de höga estetiska krav som råder idag så avlägsnas inte retainern efter en viss tid, vilket var vanligare tidigare, utan behålls ibland långt upp i vuxen ålder. Tekniska komplikationer med fastsittande retainers är vanligt och de kan även orsaka skador på tänderna. Om ingen retainer används, elimineras kostnaden för retainer och dess underhåll, men förekomsten av återfall och behovet av upprepad behandling kan uppstå. Vilken typ av retention som är bäst ur aspekten stabilitet, vävnadsvänlighet och kostnadseffektivitet är okänt.

Syfte

Syftet med studierna är bland annat att besvara frågorna
•  Vilken retainer stabiliserar bettet mest effektivt efter ortodontisk behandling
•  Vilken retainer ger minst biverkningar på bett och omgivande vävnader
•  Vilken retainer ger upphov till minst komplikationer och är mest kostnadseffektiv

Patienter och metoder

Studien har en prospektiv RCT design och kommer att bedrivs som en multicenterstudie. 175 patienter från specialistklinikerna i Västra Götaland som genomgått behandling med fast apparatur i båda käkarna kommer att randomiseras in i 5 grupper. Två grupper med olika typer av fasta retainers, en grupp med avtagbar retainer, två grupper utan retainers. Dessutom kommer en obehandlad grupp följas. Stabilitet, bieffekter och komplikationer kommer utvärderas efter 1, 3, 6, 12 och 24 månader samt 5 år.

Projektfakta

Projektledare: 
Docent Anna Westerlund

 

Retention
Bondad lingual retainer som håller tänderna på plats efter avslutad ortodontibehandling.
Foto: Maria Ransjö
Bild på essixskena
Essixskena som håller tänderna på plats efter avslutad ortodontibehandling.
Foto: Maria Ransjö
Retention
Retainern kan ge upphov till skador på käkben och gingiva.
Foto: Maria Ransjö

Bieffekter av ortodontisk behandling

Kariesprofylax och tandreglering

Idag genomgår cirka en fjärdedel av svenska ungdomar ortodontibehandling. Patienten löper under behandlingen en ökad risk att utveckla främst initialkaries (uppemot 13–75% ökad risk) men också manifest karies. Kariesskadorna uppkommer vanligen på atypiska ställen som t.ex. på framtänder och upplevs av många patienter som estetiskt störande. Vid omfattande kariesskador tvingas man ibland avbryta en kostsam behandling i förtid med en ibland förvärrad bettavvikelse som följd. Behandling av skadorna är problematiskt och kostsamt, det är därför av största vikt att förebygga karies före och under tandregleringsbehandling. Evidensbaserade riktlinjer för kariesriskbedömning inför ortodontibehandling behövs för att på så vis identifiera och endast behandla patienter med låg kariesrisk. Utförs behandling endast på patienter som uppvisar låg kariesrisk kommer färre kariesskador uppstå och kostsamma behandlingar inte avbrytas i förtid. Eftersom kariesrisken ökar under ortodontibehandling är det viktigt att ha en god förståelse för hur den fasta apparaturen påverkar kariesrisken och kariesriskrelaterade faktorer under behandling.

Många studier har utvärderat olika fluorprodukter såsom fluortandkräm, fluorsköljning och antimikrobiella lack och kombinationer av dessa i samband med ortodontibehandling, dock varierar protokoll för frekvens och styrka på fluorpreparat som rekommenderas under behandling. Enhetliga riktlinjer för optimal fluorprofylax under ortodontibehandling saknas då genomförda studier brister i studiedesign och därmed saknar resultaten evidensvärde.

Syfte

Syftet med studierna är bland annat att besvara frågorna
• Hur påverkar ortodontibehandling kariesrisk och vilka variabler påverkas
• Vilken kariesriskbedömningsmetod predikterar bäst karies inför tandreglering
• Vilken fluorprofylax är mest effektiv vid tandregleringsbehandling

Patienter och metoder

Studien har en prospektiv RCT design. Den genomförs vid Specialistkliniken för Ortodonti i Mölndal. 300 patienter som behandlas med fast apparatur deltar i studien. Data samlas in före under och efter tandregleringsbehandlingen.

 

Projektfakta

Projektledare: 
Docent Anna Westerlund

 

Foto på white spot lesions och karies
En bieffekt av ortodontibehandling är white spot lesions och karies.
Foto: Maria Ransjö
Foto på karies i framtänderna
Karies i framtänderna på patient som haft tandställning.
Foto: Maria Ransjö
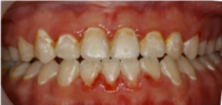
Foto kariesprofylax och tandreglering
När man har tandställning är det viktigt att hålla rent så att man inte får skador på tänder och gingiva.
Foto: Maria Ransjö

Reglering av benmetabolism och bencellers funktioner

Benhälsa och kisel

Skelettet tillhör tandläkarens arbetsfält beaktat tändernas bildning och förankring i käkbenet. Samband mellan kost och benhälsa är därför intressanta att studera även för tandläkare och kan ge kunskap som är till nytta för våra patienter. Det har sedan länge funnits ett intresse för om och hur kisel kan påverka benceller och skelett. Man har vid studier på kalvar och höns visar att brist på kisel i födan orsakar sämre skelett hos kalvarna och skörare ägg från hönorna.  Även hos människa har studier visat positiva samband mellan benhälsa och kisel i kost och dricksvatten. Vi kan tillgodogöra oss kisel framförallt från olika livsmedel och drycker (öl) som har sitt ursprung från olika sädesslag, samt även från råris och från vissa bönor. Inga kostrekommendationer finns dock ännu för kisel. Vi har i experimentella studier visat att kisel frisätts från olika biomaterial (Bio-Oss, bioaktivt glas) som används vid benrekonstruktioner. Tidigare experimentella studier har visat att kisel kan stimulera benbildande osteoblasters funktion men ytterligare kunskap om effekter på benceller samt biologiska mekanismer krävs innan kisel kan användas kliniskt.

Syfte

  • Analysera upptag av kisel till benceller
  • studera hur kisel påverkar funktion hos osteoblaster.
  • om kisel kan påverka osteoklaster som resorberar ben.
  • hur mycket kisel det normalt finns i käkben hos människa och om mängden kisel i käkben går att påverka med kost eller intag av kiselhaltig dryck

Projektfakta

Projektledare: 
Professor Maria Ransjö

 

Foto benhälsa och kisel
Mikroskopisk bild av benbildning som sker när benersättningsmaterialet bioaktivt glas 45S5 (vita områden) korroderar. 45S5 består till 45% av kisel.
Foto: Maria Ransjö
Foto på benmärgsodling från mus
Benmärgsodling från mus används för att studera effekter av kisel på osteoklasters utveckling (starkt rödlila celler).
Foto: Maria Ransjö
Illustration benhälsa och kisel
Kisel (Si) kan tas upp från kosten och transporteras via blodkärl eller frisättas från benersättningsmaterial (t ex 45S5 bioaktivt glas) och påverka bencellernas aktivitet.

Tanderuption

Kliniska och molekylära studier av retinerade hörntänder

Retinerade hörntänder i överkäken är ett relativt vanligt kliniskt problem som ofta kräver en lång behandling innefattande både kirurgi och tandreglering. Orsak till hörntänders retention är inte klarlagd men har relaterats till fysiskt hinder eller felaktig riktning på tandens eruption. En annan regleringsmekanism som behöver studeras ytterligare är den molekylära koordinationen av benbildning och benresorption som krävs för eruptionsprocessen, och som troligen regleras av tandfollikeln. Tidigare studier har visat att hörntandens eruption kan påverkas positivt genom interceptiv behandling inkluderande extraktion av den primära hörntanden vid en gynnsam tidpunkt.

Syfte

  • kartlägga förekomst och utvärdera behandlingsåtgärder vid retinerade hörntänder
  • studera samt tandfollikelns betydelse vid normal tanderuption och retinerade tänder

Material och metoder

Alla patienter inom Region Västra Götaland födda 1996–1998 diagnostiserade med retinerade hörntänder som behandlats med kirurgisk friläggning. Läget på retinerade och normalt erupterande hörntänder avseende olika skelettala och dentoalveolära variabler beräknas och analyseras vidare med bland annat multivariatanalys. Tandfolliklar erhållna från operation av retinerade hörntänder och från kontroll tänder analyseras avseende genuttryck för benreglerande markörer med bland annat RT-qPCR och immunofluorescence färgning.

Projektfakta

Projektledare:
Professor Maria Ransjö & docent Anna Westerlund

 

Foto retinerade hörntänder
Patient som har sina primära hörntänder kvar eftersom de permanenta hörntänderna ligger kvar uppe i käken.
Foto: Maria Ransjö
Foto retinerade hörntänder
Röntgenbild som visar permanenta hörntänder som inte erupterat.
Foto: Maria Ransjö
Foto retinerade hörntänder
Follikelsäcken (blå pil) finns runt kronan på tanden när den bildas. Follikelsäcken frisätter olika faktorer som reglerar osteoklasters (1) och osteoblasters (2) aktivitet och tandens eruption.