Breadcrumb

TAT-Imaging

Research project
Active research
Project owner
Institute of Clinical Sciences

Short description

Different imaging techniques is repeatedly used in the research and gives important additional information regarding for example the distribution of radioactivity in tissues. Below is listed the imaging techniques use by the Targeted Alpha Therapy Group.

Alpha Camera Imaging

This newly developed technique by Tom Bäck makes it possible to image and pin-point the location of the alpha particles emitted by for example 211At and 213Bi in in vivo samples, with a resolution of ~20 µm.

Fluorescence Microscopy

This technique has been used when in radiobiological studies when investigating the appearance of double-strand breaks in irradiated cell nuclei. Breaks are visualized by labeling of gamma-H2AX foci, emerging within minutes at the site of DNA breaks.

Light Microscopy

This technique is used on a regular basis when for example investigating the presence of microscopic tumors in hematoxylin/eosin coloured tissue samples in our therapy studies.

Scanning Electron Microscopy (SEM)

This technique has been used in some studies when for example investigating the relationship between the estimated absorbed dose to differently sized small tumors and the therapeutic efficacy.

Transmission Electron Microscopy (TEM)

This technique has been used occasionally when investigating how the ovarian tumor cells for example are attached to the peritoneal lining during studies of the therapetic efficacy.

Scintigraphy/CT/SPECT-CT

Various standard nuclear-medicine imaging techniqes have been utilized in for example the phase I study to image the localization of radioactivity in the body.

Gamma-camera images
Gamma-camera images of 2 patients in our phase I study on intraperitoneal infusion of 211At-MX-35 F(ab’)2 for ovarian carcinoma. Images show anterior-posterior (AP) and posterior-anterior (PA) views of patients up to 24 h postinfusion.
Cryosectins of BAlb/c
Cryosections of Balb/c nu/nu kidneys imaged with the Alpha Camera at 30 min (A) and 2 h (B) after intravenous injection of 211At-IgG trastuzumab. White arrows indicate vascular branches (A) and medullary rays and glomeruli (B).
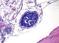
Light microscopy image
Light microscopy image of micrometastasis 2 weeks after intraperitoneal inoculation of ovarian tumor cells (OVCAR-3) in vivo (Balb/c nu/nu). Original magnification x 10.
TEM image of tumor cell
TEM image of tumor cell covered with microvilli (A) adhered to the mesothelial cell layer (B) on peritoneum. Nucleus can also be seen (C), together with its envelope (D). Specimen shown was taken from upper left quadrant of abdominal wall from Balb/c nu/nu