Bild
Foto: Jakob Lundberg
Länkstig

Åse Johnsson: Brinner för bilder och utbildning

Publicerad

Nybliven professor, ämnesföreträdare, forskare, akademirepresentant och föreningsordförande. Radiologen Åse Johnsson har många roller. Men i centrum finns alltid bilden. Hur den tas, granskas, tolkas och lärs ut.

Vi sitter i ett mörkt rum på radiologi. På den ena av skärmarna framför oss visar Åse Johnsson en datortomografibild (CT). På den andra skärmen: samma patient, men bilden är tagen med den nya tekniken fotonräknande datortomografi.

Skillnaden är påtaglig.

– Den nya tekniken ger mycket bättre kontrast, mindre brus och en tydligare bild av detaljerna. Man får högupplösta bilder i flera plan. Och ett stort plus är att det kan göras med lägre stråldos än tidigare typer av datortomografi.

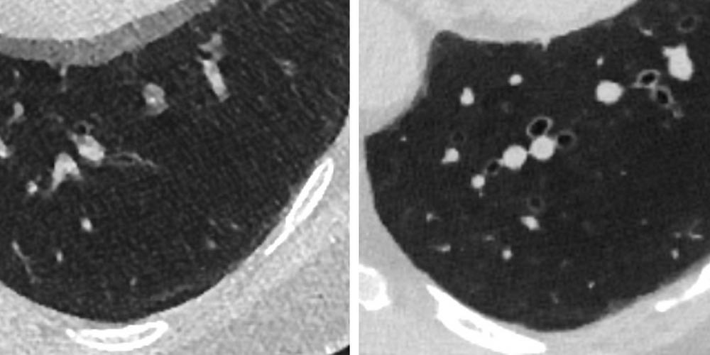
Bild
Röntgenbilder av samma lunga med två generationer av datortomografi (CT): Till vänster energiintegrerad CT som har funnits relativt oförändrad i cirka 50 år. Till höger fotonräknande CT som har använts i ett par år.

De flesta prickar är helt harmlösa, men en liten andel kan vara tidiga tecken på lungcancer

Hon vrider, växlar perspektiv, zoomar in. Prickarna i lungan syns som små förtätningar.

– De flesta prickar är helt harmlösa, men en liten andel kan vara tidiga tecken på lungcancer. Det är en av de stora utmaningarna, att ta reda på vilka prickar som faktiskt måste följas upp, säger Åse Johnsson, professor och ämnesföreträdare för radiologi och bildbehandling vid Institutionen för kliniska vetenskaper.

Professor sedan i oktober

Efter att ha varit universitetslektor i elva år blev Åse Johnsson i oktober professor i radiologi och bildbehandling.

– Det är otroligt roligt att kunna verka för ämnet på en ny nivå och bli en del av det nationella professorskollegiet i radiologi, säger hon.

Hon arbetar också kliniskt som thoraxradiolog och är djupt engagerad i SCAPIS, Sveriges största befolkningsstudier med fokus på hjärta och lungor.

I SCAPIS pågår nu en uppföljande studie där 15 000 personer undersöks med den moderna tekniken som ger bättre bilder.

– Lungan är ett strålkänsligt organ. När det handlar om många exponeringar är det väldigt betydelsefullt att på sikt kunna sänka stråldosen, säger hon.

Bild
I ett mörkt rum på radiologen visar Åse Johnsson röntgenbilder och undervisar läkarstudenter i radiologi.
Foto: Jakob Lundberg

Forskning, undervisning och klinik

Vad driver dig i allt detta?
– Jag brinner för forskningen, ta hand om studenterna och även det organisatoriska perspektivet. Inte bara i mitt ämne som radiolog, utan för att den nya läkarutbildningen som helhet ska bli så bra som möjligt.

Åse Johnsson har varit kursledare för termin 7 och är i projketeringsfas för termin 11 på nya programmet.

Hon undervisar läkarstudenter på sex av tolv terminer, ansvarar för specialistkompetenskurser och handleder handledare som undervisar studenter i radiologi.

– Jag träffar alla studenter som väljer att komma till vår undervisning. Det är ett stort ansvar men också en förmån. Radiologi är en pusselbit i nästan alla delar av sjukvården.

Snart AI i klinisk rutin

Hon har en kombinationstjänst och arbetar både vid universitetet och på kliniken på Sahlgrenska Universitetssjukhuset. Forskningen handlar bland annat om avbildningstekniker med låg stråldos och hur AI kan användas för att upptäcka förändringar i bilder.

– Vi använder AI för att hitta noduler, alltså prickar i lungorna, och har gjort det i SCAPIS i flera år. Jag har pläderat i tio år för att vi ska introducera AI i klinisk rutin och nu är vi närmare än någonsin.

Åse Johnsson, professor och ämnesföreträdare för radiologi och bildbehandling, arbetar i tre spår: kliniskt som radiolog, i läkarutbildningen på Göteborgs universitet med kursutveckling och undervisning samt i forskning.
Foto: Jakob Lundberg

MR – som en orgel av radiovågor

Sitt allra största teknikintresse har Åse Johnsson inom magnetresonans, särskilt MR hjärta.

– Det är så otroligt häftigt att kunna avbilda ett pumpande hjärta. Vi kan mäta rörelse, flöde och vävnadsförändringar, helt utan strålning. Det är som en orgel av radiovågor. Och utvecklingen kommer ju att fortsätta på olika sätt.

Det är så otroligt häftigt att kunna avbilda ett pumpande hjärta

Hon började sin forskarbana med en experimentell avhandling på titanimplantat i benvävnad, men valde sedan att rikta in sig på thoraxradiologi.

– Jag ville att forskningen skulle hänga ihop med mitt kliniska arbete. Det gör den nu.

Flytande gräns mellan arbete och fritid

Åse Johnsson är dessutom akademirepresentant i verksamhetsledningsgruppen för radiologi och ordförande i Svensk Förening för Thoraxradiologi.

– Som så många andra inom akademin jobbar jag mycket, men det är också ibland en flytande gräns mellan vad som är arbete och fritid. Radiologi är inte bara ett jobb för mig utan även ett intresse. Det är absolut värt all den tid jag lägger. Och allt hänger ihop. Forskningen, utbildningen och yrket som radiolog. Jag vill vara med och påverka åt rätt håll.

Text: Jakob Lundberg

GAMMAL OCH NY TEKNIK FÖR DATORTOMOGRAFI (CT)

Energiintegrerad CT (EID-CT)
– Har varit klinisk standard i Sverige sedan mitten av 1970-talet.
– Detektorerna summerar den totala energin från alla röntgenfotoner som träffar dem.
– Tekniken har successivt förbättrats, men grundprincipen är densamma.

Fotonräknande CT (PCD-CT)
– Introducerades kliniskt i Sverige 2022–2023.
– Räknar enskilda fotoner och mäter deras energi direkt.
– Ger högre upplösning och mindre bildbrus.
– Möjliggör lägre stråldos, men dosen kan anpassas upp eller ner beroende på kliniskt behov och protokoll.