Länkstig

Rahime Inci: Nya kunskaper om sällsynta ärftliga hudsjukdomar

Publicerad

Ärftliga hudsjukdomar är ovanliga men kan ha stor inverkan på de drabbades liv. Rahime Inci har kartlagt hur många som drabbas i Sverige och undersökt nya diagnostiska metoder för att förbättra vården.

Bild
Rahime Inci, hudläkare vid Sahlgrenska Universitetssjukhuset och doktorand vid Institutionen för kliniska vetenskaper.

RAHIME INCI
Disputation: 25 april 2025 (klicka för mer information)
Doktorsavhandling: Genodermatoses: Epidemiology and application of advanced laser microscopy techniques
Ämnesområde: Dermatologi och venereologi
Sahlgrenska akademin, Institutionen för kliniska vetenskaper

Genodermatoser är ärftliga hudsjukdomar som kan innebära stora utmaningar både för patienter och vården. Trots att varje enskild sjukdom är sällsynt, berör de tillsammans många människor.

Rahime Inci, hudläkare vid Sahlgrenska Universitetssjukhuset och doktorand vid Institutionen för kliniska vetenskaper, har kartlagt omfattningen av dessa sjukdomar i Sverige och undersökt nya sätt att ställa diagnos.

– Totalt identifierade vi 73 olika genodermatoser och kunde ge en mer exakt bild av hur vanliga de är i Sverige, säger Rahime Inci.

Figur från avhandlingen. Olika kliniska bilder av porokeratoser (a-d) och deras utseende i dermoskopi (e-h).

Ökad risk för hudcancer

Studien visar att porokeratos och Dariers sjukdom hör till de vanligaste genodermatoserna i Sverige. (Se faktaruta om dessa två sjukdomar längre ner.)

En viktig upptäckt var att porokeratoser har ett samband med en ökad risk att utveckla hudcancer.

Även Dariers sjukdom hade koppling till ökad risk för keratinocytcancer (basalcellscancer och skivepitelcancer). Detta sågs i jämförelse med en kontrollgrupp som var tio gånger större.

– Vi kunde bekräfta denna ökade risk för hudcancer genom analyser av nationella registerdata, och det är viktigt att både patienter och vården uppmärksammas på det här sambandet, säger Rahime Inci.

Bild
Avhandlingens omslagsbild. Dermoskopibild av en porokeratosförändring.
Foto: Rahime Inci

Nya diagnostiska verktyg

I en av avhandlingens studier utvärderas hur lasermikroskopitekniker kan användas för diagnostisering. Teknikerna reflektionskonfokal mikroskopi (RCM) och multiphoton mikroskopi (MPM) jämfördes med traditionell histopatologi. (Se faktaruta längre ner.)

– Våra resultat visar att dessa metoder kan vara lovande alternativ för snabb och icke-invasiv  diagnostik (undersökning utan att ta vävnadsprov) av porokeratos, säger Rahime Inci.

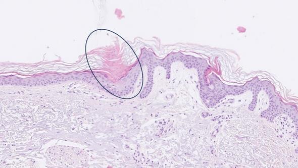
Figur från avhandlingen. Cornoid lamella är ett karakteristiskt histopatologiskt fynd för diagnos av porokeratoser.

Ny kunskap för vården

Att avhandlingen ger exakta siffror på genodermatoser i Sverige kan få betydelse både för patientmöten och den vetenskapliga litteraturen.

– Vi hoppas att resultaten kan bidra till bättre uppföljning och diagnostik. Att vissa av dessa sjukdomar kan innebära en ökad risk för hudcancer gör det extra viktigt att sprida kunskapen.

Möjligheten att kombinera forskning och kliniskt arbete har varit en stor drivkraft för Rahime Inci under doktorandtiden.

– Hela processen har varit både rolig och lärorik. Jag har fått nya perspektiv och kunnat tillämpa min forskning direkt på genodermatosmottagningen. Den största utmaningen har varit att arbeta med stora registerdata och att lära mig de nya mikroskopiteknikerna.

Text: Jakob Lundberg

Porokeratoser och Dariers sjukdom

Porokeratoser är en grupp ovanliga hudsjukdomar som ger ringformade, upphöjda utslag. Vissa former är ärftliga, medan andra uppstår spontant. Utslagen kan fjälla, bli irriterade och göra ont i solen.

Dariers sjukdom är en ärftlig hudsjukdom som ger fetglänsande, hårda utslag i hudveck, till exempel i armhålor och ljumskar. Utslagen kan lukta illa och bli infekterade.


Tre tekniker för att undersöka hud

Reflektionskonfokal mikroskopi (RCM) är en bildteknik som gör det möjligt att studera levande hud i detalj utan att ta bort vävnad.

Multiphoton mikroskopi (MPM) är en mer avancerad teknik som ger bilder ännu djupare ner i huden och kan visa flera strukturer samtidigt.

Histopatologi är den traditionella tekniken där man tar ett vävnadsprov (biopsi), färgar det och studerar det i mikroskop.