Image
Photo: iStock
Breadcrumb

For young adults, the color of their teeth is important

Published

White teeth are highly valued by young adults. But an even tooth color is considered to be of even higher importance. A study from the University of Gothenburg, one of the first of its kind, shows that many people with a deviant color on a part of a tooth would like treatment.

The aim of the study, published in the journal Acta Odontologica Scandinavica, was to investigate young individuals' esthetic perception of the color on the visible surfaces of the upper front teeth, in themselves and in others.

The results are based on an online survey, launched via social media and targeted at individuals aged 18-30 years in Sweden. There were 2,082 participants, 55% of whom were women. The average age was 25 years.

Participants were asked to rate how satisfied they were with their own tooth color and how they perceived unevenness of tooth color (deviant color on a part of a tooth, spots). The results showed that 77% of participants were satisfied with their tooth color, with no major differences between gender and age. In contrast, those who perceive having a deviant color on a part of a tooth were less satisfied with their tooth color.

The color of teeth is noticed

Participants were also shown photos of different teeth with and without deviant color on a part of the enamel of the front teeth and then asked to rate esthetic impression. When participants looked at the photos and found the tooth color unacceptable, 90% of them cited the color deviation as a cause, with shade and extent also playing a role.

White teeth were revealed to be very popular. On a scale of 0 to 10, with 0 being unimportant and 10 being very important, white teeth scored an average of 7.25. Even higher scores were given to an even tooth color, with an average score of 8.

Laura Ståhl is a PhD student at the Institute of Odontology at the University of Gothenburg, a Dental Professional in the Public Dental Service in Gothenburg and the study's first author:

“What we found is that the participants in the study notice uneven tooth color, and that it is something that is perceived negatively. We also observed that those who are more satisfied with their own tooth color placed more importance on the color of teeth, both their own and that of others.”

Laura Ståhl, Institute of Odontology, Sahlgrenska Academy at the University of Gothenburg.
Photo: Margareta G. Kubista

“It is important to understand how young people view their teeth, to listen to them and take their concerns seriously. Oral health is a broad concept—it is not only about having a healthy mouth, but also about being able to smile, laugh, and show self-confidence in every expression.” says Laura Ståhl.

Color correction: yes please

In the study, a higher proportion of women (22%) than men (13%) had experience with teeth whitening. Of those who reported having a deviant color on a part of a tooth, 9 percent had color corrective treatment. Another 52% were interested in having it.

The study is also authored by Nina Sabel, Associate Professor at the Institute of Odontology at the University of Gothenburg, Senior Dentist in Pediatric Dentistry, and with knowledge of esthetic treatment of uneven tooth color:

“Teeth are seen as an important part of the appearance, and some young people are troubled by having a deviant colour on part of a tooth. Teeth whitening or other treatments will not give you a total makeover, but can lead to improvements if done correctly,” she says.

Nina Sabel, Institute of Odontology, Sahlgrenska Academy at the University of Gothenburg.
Photo: Malin Arnesson

“Dentistry does not own the issue of teeth whitening, which I wish it did. Different color deviations have different causes, requiring different types of treatment. In addition, dental professionals are knowledgeable about the risks and can prevent injury to gums, for example. A tip to minimizing side effects is to ensure that the bleaching is done in a controlled manner with a low concentration of hydrogen peroxide. It is also important not to over-bleach, because once your teeth have turned neon white, you cannot go back,” says Nina Sabel.

Study: Laypersons' esthetic assessment of teeth with de- or hypomineralization - a web-based survey

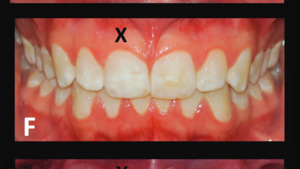
Some of the images that the participants were exposed to, with different color deviations on the teeth (the conditions are described below).
Photo: From the article in Acta Odontologica Scandinavica

Molar-Incisor-Hypomineralization (MIH) - a condition of unclear cause that results in more porous enamel and increased sensitivity of some teeth. Appearing as white, yellow or brownish discolorations of the enamel of molars, sometimes also on front teeth.

Dental Fluorosis (F) - a condition caused by the overconsumption of fluoride early in life that results in visible discolorations of the enamel. Elevated fluoride intake may be due to high levels of fluoride in drinking water, for example from your own well. Generally seen as white to brown discolorations of the enamel.

White Spot Lesions (WSL) - a condition also known as enamel demineralization, seen as white areas in the enamel. Occurring in cases of poor oral hygiene usually at the gum line and can occur, for example, as a complication of orthodontic treatment with fixed braces, mainly around the braces.

Source: University of Gothenburg